目の下のたるみ(目元のたるみ・くま)はどうしてできるの?原因や予防方法を解説

【更新日:2024/09/19】
目の下のたるみの主な原因は、目の周りの筋肉の衰えと皮膚の弾力低下です。
これらは加齢だけでなく、日々の生活習慣によっても引き起こされます。
目の下のたるみは、30代以降に多く見られ、暗い印象や老け顔の大きな要因となるため、その原因を理解し、適切な予防法を知ることが重要です。
目の周りの筋肉の衰えと皮膚の弾力低下
目の周りには骨がなく、骨の代わりに“眼窩脂肪”が眼球を支えています。そしてその“眼窩脂肪”は、表情筋の一つである“眼輪筋”と“眼窩隔膜”によって支えられています。
“眼輪筋”は筋肉なので、年齢を重ねるとともに衰えていきます。加齢以外にも、紫外線による組織破壊や目をこするといった日常的な摩擦などが原因となり“眼輪筋”は弱くなっていきます。
“眼輪筋”が弱まると、目の周りの“眼窩脂肪”を支えきれなくなり、その脂肪が前に飛び出し“目の下のたるみ”となって顔に出現してしまうのです。また加齢にともない、目周辺の皮膚の弾力が低下しハリを失うことも、目の下のたるみを作る大きな要因となります。
目の下にたるみを作りやすい人

目の下のたるみは、日頃のなにげない行動にも原因が潜んでいます。ここでは、目の下にたるみを作りやすい人の特徴を解説します。
目をこすってしまう人
目の下にたるみができる原因として、目の周りの筋肉や皮膚が緩んでしまうことが挙げられます。目をこする行為は、目の周りの筋肉や皮膚にダメージを与え、筋肉を緩める原因となります。そのため、目をこする癖がある人は、目の下がたるみやすくなります。
また、メイク落としで目元を強くこする、力強いマッサージをするといった人も目元がたるみやすくなります。目元の皮膚は非常に薄くデリケートなので、必要以上にこすったり刺激したりすることは避けるべきです。
スマートフォンを長く使っている人
スマートフォンを見ていると瞬きの回数が減ります。瞬きの回数が減ると、目の周りの筋肉を使う頻度も減るため筋力が落ちてしまうのです。そのため、スマートフォンを使っている時間が長い人ほど、目の下がたるみやすいといえるでしょう。
さらに、長時間スマートフォンの画面を見ていると、眼精疲労によって目の周りの血行が悪くなります。血行不良はむくみや腫れなどを招き、その結果、目の下のたるみを引き起こしてしまうのです。
コンタクトレンズを使用している人
目の下のたるみを引き起こす意外な要因として、コンタクトレンズの使用が挙げられます。コンタクトレンズの着脱時は目の周りの皮膚に触れるため、コンタクトレンズを使用していない人と比べると目元の皮膚が伸びやすいのです。
また、コンタクトレンズを使用する人は、“眼瞼下垂”というまぶたが下がる病気になりやすいとされています。これらのリスクを抑えるためには、コンタクトレンズの使用頻度を減らすなどの対策が必要です。
感情をあまり出さない人
表情は日常的に眼輪筋を動かす機会になります。笑ったり驚いたりといった表情の変化で表情筋が使われるため、表情が豊かな人ほど目の下がたるみにくいといえます。反対にあまり感情を表に出さない人は、表情筋を動かす機会が少なく眼輪筋が衰えやすいのです。
一人暮らしや在宅ワークなども、日常的に人とのかかわりが少なく表情筋をあまり使いません。このような状況の人も、目の下にたるみが出やすいため注意が必要です。
目の下のたるみを予防する6つの方法
目の下のたるみは、予防することでその進行を遅らせることが可能です。ここでは、今日から実践できる予防策6つを紹介します。
①目元周辺の刺激を少なくする
目元の皮膚はとても薄いため、目元周辺への刺激を極力減らすことが大切です。目元を触る機会を減らし、触るときは優しく触るように心がけましょう。コンタクトレンズの着脱やメイク落とし、洗顔などの日常的な行動を見直すことが大切です。
②目元の血流を促す
目元の血行が悪くなると、肌がむくみ、たるみが進行する原因となります。クリームやオイルなどを使いながら、優しくマッサージをして血行を良くし、老廃物を溜め込まないようにしましょう。
また、スマートフォンを長時間使用したあとや就寝前には、ホットアイマスクや蒸しタオルで目元の血流を促すのも効果的です。目元の疲れが解消されると睡眠の質も向上し、睡眠不足やストレスによるたるみの改善につながります。
③紫外線対策をする
紫外線は、肌のバリア機能を破壊し、コラーゲンやヒアルロン酸を生み出す線維芽細胞にダメージを与えます。紫外線により肌のハリや弾力がなくなり、目の下の皮膚がたるみやすくなるのです。
そのため、外出時は日焼け止めや日傘を使うなど、紫外線対策を徹底しましょう。室内でも窓際などは紫外線を多く浴びることがあるため、日焼け止めは室内でも塗るのがおすすめです。
④目元を保湿する
乾燥は肌のハリや弾力を失わせます。洗顔後や就寝前などに十分な保湿ケアを行ない、肌が乾燥しないように気を付けましょう。また、紫外線によって肌が乾燥することもあるため、紫外線対策と保湿ケアは、どちらも毎日行なうことが大切です。
⑤表情筋のトレーニングをする
目の下のたるみは、目元の筋肉が衰えることでも起こります。そのため、意識して瞬きの回数を増やしたり、顔全体を使った表情筋トレーニングをしたりして顔の筋肉を使うとよいでしょう。
メイク前や休憩時間など、ちょっとした時間にトレーニングを行ない、表情筋を鍛えましょう。
⑥目元用の化粧品を利用する/p>
紫外線対策や保湿ケアの効果を高めるには、目元ケア専用の化粧品が効果的です。肌にハリや弾力を与えてくれる働きを持つ、コラーゲンやヒアルロン酸が配合された化粧品がおすすめです。
ただし、化粧品を塗る際には、力を入れずに優しく塗るように心がけ、摩擦によって肌を傷つけないようにしましょう。
当院の“目の下のたるみ治療”
目の下のたるみは一度大きく進行してしまうと、自力で解消することは困難です。30代から40代にかけて現れた目の下のたるみを放置すれば、当然その先の50代、60代と歳を重ねるごとに、たるみは進行していきます。目の下のたるみを進行させないためには、早めの対策が重要です。
当院では、たるみが気になる部分に注射するだけの注入法(アイコントアー)や、メスを使わずまぶたの裏側から脂肪を取り除く経結膜脱脂法など、お客様それぞれの症状に適した“目の下のたるみ治療”をご提案いたします。時間をかけたカウンセリングでご希望の仕上がりのシミュレーションを入念に行ないながら治療を進めてまいります。
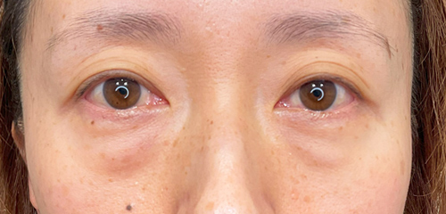
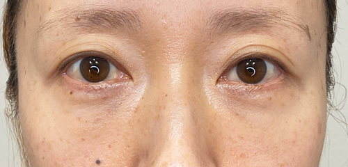
当院でもお問合せの多い、くま取り治療(経結膜脱脂法)の症例をご紹介いたします。
当院のくま取り治療症例写真

Before
After

Before
After
- 施術名
- 経結膜脱脂法
- 施術の説明
- 目の下のくま、たるみ、ふくらみの原因となる眼窩脂肪(3つの部位=内側・中央・外側)を除去します。スッキリと若々しい目元になります。下まぶたの裏を小さく切開して脂肪を取り除く為、表面に傷跡が残りにくい手法です。
- 施術の副作用
(リスク) - むくみ、腫れ、内出血などが生じる可能性があります。
- ダウンタイム
- 比較的短く1週間~1カ月ほどです。
- 施術の価格
- 275,000円(税込)

Before
After

Before
After
- 施術名
- 経結膜脱脂法+脂肪注入(目の下)
- 施術の説明
- 目の下のくま、たるみ、ふくらみの原因となる眼窩脂肪(3つの部位=内側・中央・外側)を除去します。スッキリと若々しい目元になります。下まぶたの裏を小さく切開して脂肪を取り除く為、表面に傷跡が残りにくい手法です。
- 施術の副作用
(リスク) - むくみ、腫れ、内出血などが生じる可能性があります。
- ダウンタイム
- 比較的短く1週間~1カ月ほどです。
- 施術の価格
- 575,000円(脂肪注入込み)

Before
After

Before
After
- 施術名
- 経結膜脱脂法+脂肪注入(目の下)
- 施術の説明
- 目の下のくま、たるみ、ふくらみの原因となる眼窩脂肪(3つの部位=内側・中央・外側)を除去します。スッキリと若々しい目元になります。下まぶたの裏を小さく切開して脂肪を取り除く為、表面に傷跡が残りにくい手法です。
- 施術の副作用
(リスク) - むくみ、腫れ、内出血などが生じる可能性があります。
- ダウンタイム
- 比較的短く1週間~1カ月ほどです。
- 施術の価格
- 575,000円(脂肪注入込み)

Before
After
- 施術名
- 経結膜脱脂法
- 施術の説明
- 目の下のくま、たるみ、ふくらみの原因となる眼窩脂肪(3つの部位=内側・中央・外側)を除去します。スッキリと若々しい目元になります。下まぶたの裏を小さく切開して脂肪を取り除く為、表面に傷跡が残りにくい手法です。
- 施術の副作用
(リスク) - むくみ、腫れ、内出血などが生じる可能性があります。
- ダウンタイム
- 比較的短く1週間~1カ月ほどです。
- 施術の価格
- 275,000円(税込)
目元のたるみ・クマ治療について詳細はこちらをご覧下さい。
目元のたるみはデザイン×技術力が仕上がりを左右するポイントとなります。シンシアではご相談は無料で行っておりますので、気になる方は是非お問合せ下さい。
この記事はシンシアガーデンクリニックが監修しました。
コラム
クリニック情報
群馬県高崎市江木町1718-4
| 診療時間 | 月 | 火 | 水 | 木 | 金 | 土 | 日 |
|---|---|---|---|---|---|---|---|
| 10:00~19:00 | / | ◯ | ◯ | ◯ | ◯ | ◯ | ◯ |
群馬県太田市東矢島町284
| 診療時間 | 月 | 火 | 水 | 木 | 金 | 土 | 日 |
|---|---|---|---|---|---|---|---|
| 10:00~19:00 | / | ◯ | ◯ | ◯ | ◯ | ◯ | ◯ |



