menu
close
Case

症例

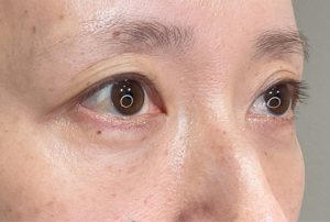
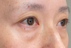
目元のくま・たるみ(経結膜脱脂法+目の下の脂肪注入)

Before
After

経過・その他の写真

症例横ビフォー
症例横アフター

症例内容

施術名
目元のくま・たるみ(経結膜脱脂法+目の下の脂肪注入)
施術説明
目の下のくま、たるみ、ふくらみの原因となる眼窩脂肪(3つの部位=内側・中央・外側)を除去します。スッキリと若々しい目元になります。下まぶたの裏を小さく切開して脂肪を取り除く為、表面に傷跡が残りにくい手法です。
施術後のリスク
むくみ、腫れ、内出血などが生じる可能性があります。
施術の価格
¥635,000 ※料金は施術当時のものです
料金内訳
くま取り(経結膜脱脂法)
¥275,000
脂肪注入(目の下)
¥360,000
Special Offer

特別プランのご案内