Case
症例
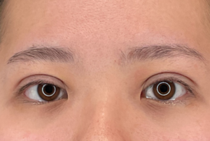
二重埋没法(4点留め)
Before
After
術後1ヶ月後
Before
After
術後1ヶ月後
✕
経過・その他の写真
術直後の様子
✕
症例内容
施術名
二重埋没法(4点留め)
施術説明
医療用の特殊な糸でまぶたの皮膚と瞼板を結ぶことで二重まぶたにする施術です。
施術後のリスク
腫れ・痛み・内出血・感染症・左右差・糸が取れるなどを生じる可能性があります。
施術の価格
4点留め¥136,400 1年保証付き 4点留め¥165,000
料金内訳
・¥136,400
Special Offer



