【ボトックスビスタ】症例写真35 しわ治療
こんにちは、シンシアガーデンクリニックです。
本日は、ボトックスビスタによるしわ治療の症例をご紹介いたします。

メスを使わずに表情じわ、小じわを目立たなくさせる治療として、
当院でも人気の治療です。
気軽に出来るとこから多くの方にお問合せを頂いております。
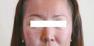
【ビフォー】

【アフター】
ボトックス注射は、ボツリヌス菌の生産した成分を用いて一時的に表情筋の収縮を弱めることで、
シワがよりにくくなり目立たなくなります。
4~6ヶ月するとまた元の状態に戻りますので、継続することで状態を維持することができます。
数カ月持続がするので、同窓会やご参加される女子会や式典など
ライフプランに合わせて計画的に治療をすることで
自信をもって、イベントに臨めるのも嬉しいですよね。
当院では安全性の高いアラガン社製のボトックスを使用しております。
詳しくはホームページをご覧ください。
▼ボトックスのページはこちら
http://www.sincere-gc.com/treatment/botox/index.html
——————————————————————-
ご質問・ご相談は電話・メールにて承っております
———————————————————————
シンシアガーデンクリニック
群馬県太田市南矢島町62
フリーダイヤル 0120-43-6223
ご相談メールフォーム http://www.sincere-gc.com/contact/




























