【コグリフト】症例写真66 コグリフト
たるみの改善にコグリフト4本使用しました。 施術名:コグリフト 施術の説明: コグリフト4本の施術例です。 コグリフトは糸を使った切らないフェイスリフトです。今までのシルエットリフトも効果や持続性も高かったのですが、内出血や糸の出口の凹みがしばらく気になることがありまます。コグリフトは、溶ける糸にらせん状に付い... 【もっと読む】
【コグリフト】症例写真58 30代 8本使用
ほほとフェイスラインのたるみが気になっていたので左右のほほに4本づつ挿入しました。 施術名:コグリフト 施術の説明: コグリフト8本の施術例です。 コグリフトは糸を使った切らないフェイスリフトです。今までのシルエットリフトも効果や持続性も高かったのですが、内出血や糸の出口... 【もっと読む】
【コグリフト】症例写真57 50代 6本使用
ほほとフェイスラインのたるみが気になっていたので、左右のほほに3本づつ挿入しました。 施術名:コグリフト 施術の説明: コグリフト6本の施術例です。 コグリフトは糸を使った切らないフェイスリフトです。今までのシルエットリフトも効果や持続性も高かったのですが、内出血や糸の出口の凹みがしばらく気になることがありまま... 【もっと読む】
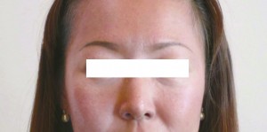
【ヒアルロン酸注入 クレビィエル】症例写真53 目元のたるみ 鼻筋
施術名: ヒアルロン酸注入 右目下0.3cc 左目下 0.2cc 注入 クレヴィエルコントア 鼻筋 0.1㏄注入 お悩み: 目元のたるみ くま メッセージ: たるみが改善されたので満足です 施術名:ヒアルロン酸 右目下0.3cc 左目下 0.2cc 注入 施術の説明:気... 【もっと読む】
【ヒアルロン酸注入】症例写真52 ほほ0.25CC注入
施術名;ヒアルロン酸注入 片側0.25cc 両ほほ お悩み: 口角の横のしわが気になる 施術名:ヒアルロン酸 片側0.25㏄ 両側合計0.5cc 施術の説明:気になるお肌の「しわ」、「たるみ」、「くぼみ」に、数カ所に分けてヒアルロン酸を注入します。 施術の副作用(リスク):術後は針の痕が少し赤く残りますが、... 【もっと読む】
【ヒアルロン酸注入 目元】症例写真45 30代 0.3CC 注入
ヒアルロン酸注入 目元の涙袋の部分にヒアルロン酸を0.3cc注入しました。 目元の涙袋のたるみがスッキリとしました。 【施術前】 【施術後1週間】 施... 【もっと読む】
【ボトックスビスタ】症例写真35 しわ治療
こんにちは、シンシアガーデンクリニックです。 本日は、ボトックスビスタによるしわ治療の症例をご紹介いたします。 メスを使わずに表情じわ、小じわを目立たなくさせる治療として、 当院でも人気の治療です。 気軽に出来るとこから多くの方にお問合せを頂いております。 【ビフォー】 ... 【もっと読む】


































